Carestream CS 9600
Tecnología de Vanguardia: Conoce Nuestro Escáner Carestream
La innovación impulsa la precisión
No hay nada sencillo en su trabajo cotidiano. Pero ahora hay una manera más sencilla para capturar las imágenes que necesita para realizar diagnósticos y planes de tratamiento más rápidos. El revolucionario CS 9600 ofrece un nuevo nivel de calidad de imagen, facilidad de uso y, en última instancia, funciones de diagnóstico exactas. El sistema incluye características inteligentes y tecnologías de flujo de trabajo automatizadas para garantizar una colocación fiable del paciente y una calidad de imagen reproducible independientemente de las aptitudes del operador. Y de cara al futuro, el sistema puede ampliarse junto con su consulta gracias a campos de visión actualizables, opciones radiológicas versátiles y software de valor añadido.

SISTEMA MULTIFUNCIONAL
La radiología multifunción combina tecnología panorámica
2D y radiología CBCT con exploración facial 3D1 y exploración de modelos 3D1 para crear una potente unidad actualizable a radiología cefalométrica.
HASTA 14 CAMPOS DE VISIÓN
4 cm x 4 cm, 5 cm x 5 cm,
6 cm x 6 cm
5 cm x 8 cm
8 cm x 5 cm, 10 cm x 5 cm,
12 cm x 5 cm
8 cm x 8 cm
10 cm x 10 cm
12 cm x 10 cm
16 cm x 6 cm
16 cm x 10 cm
16 cm x 12 cm
16 cm x 17 cm
TRES VERSIONES ACTUALIZABLES
El diseño flexible del CS 9600 le permite actualizar a un mayor campo de visión sin necesidad de sustituir la unidad cuando se desea explorar nuevas áreas.
CS 9600 12X10 EDITION
Campo de visión: Desde
4 cm x 4 cm hasta 12 cm x
10 cm
Ideal para implantes, cirugía bucal, endodoncia y odontología general.
CS 9600 16X10 EDITION
Campo de visión: Desde 4 cm x
4 cm hasta 16 cm x 10 cm
Ideal para casos de implantes complejos, periodoncia, cirugía bucal y la mayoría de cirujanos bucales y maxilofaciales.
CS 9600 16X17 EDITION
Campo de visión: Desde 4 cm
x 4 cm hasta 16 cm x 17 cm
Para todas las necesidades, incluida cirugía maxilofacial y ortognática.
TAN INTELIGENTE,
TAN SENCILLO.
CS 9600
DISEÑADO PARA RADIOLOGÍA CORRECTA EN EL PRIMER INTENTO
El CS 9600, la unidad CBCT más avanzada en su categoría, presenta varios avances para que tanto usted como su personal puedan lograr una alta calidad e imágenes reproducibles con una mínima experiencia de uso del sistema. Su flujo de trabajo intuitivo y tecnologías de vanguardia aportan un nuevo nivel de automatización y simplicidad a la radiología dental y maxilofacial.
La unidad incorpora varias innovaciones revolucionarias, como el Live Positioning Assistant, cámaras de vídeo y tecnología SmartAuto que garantizan una colocación del paciente sistemáticamente correcta, ayudando a su equipo a capturar exploraciones precisas en el primer intento.
POSICIONAMIENTO ESTABLE
El paciente puede explorarse de pie o sentado utilizando el asiento extraíble opcional que potencia la estabilidad del paciente y reduce al mínimo el riesgo de movimiento.
LIVE POSITIONING ASSISTANT
Los pacientes se colocan mediante cámaras, a la vez que las vistas del paciente en directo se muestran en la pantalla táctil para un posicionamiento fácil y exacto
SMARTPAD DE FÁCIL USO
El SmartPad intuitivo y la clara guía de la interfaz permiten guiar al usuario a través del examen y simplificar todo el procedimiento, desde la configuración del examen hasta el control de calidad de la imagen.
MAS POTENCIA, MENOS ARTEFACTOS Y DOSIS MÁS BAJA
La cadena radiológica de alta
potencia de 120 kV ayuda a reducir los artefactos y mejora los contrastes, a la vez que reduce la dosis efectiva para los exámenes CBCT
TECNOLOGÍAS INTELIGENTES
SmartAuto Pan y SmartAuto 3D analizan la morfología del paciente para calcular automáticamente los ajustes y la trayectoria de exposición correctos, o para definir con precisión el campo de visión
CS MAR
CS MAR reduce de forma drástica los artefactos metálicos e incluso permite explorar imágenes dinámicamente con o sin filtro MAR para unos diagnósticos más fiables.
CS FACE SCAN
Capture fotos faciales 3D reales con la opción CS Face Scan, y superponga automáticamente la exploración superficial con imágenes CBCT y modelos 3D
Manténgase conectado y con cobertura. Inscríbase en CS Advantage
Obtenga cobertura con extensión de garantía, actualizaciones de software, formación y asistencia necesarias para garantizar la mejor experiencia posible con su adquisición de equipos. Es fácil con nuestro plan CS Advantage. Póngase en contacto con su representante de Carestream Dental para obtener más información.
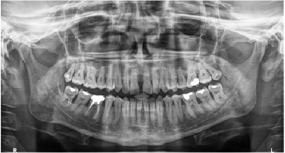
Panorámico
Una gama completa de programas panorámicos cubren todas sus necesidades de rutina, incluidas, entre otras, opciones de aleta de mordida extraoral, FMS extraoral y baja dosis
Endodoncia
Las imágenes de alta resolución (hasta 75 μm) se adaptan perfectamente a las indicaciones de endodoncia y ahora pueden capturarse en modos de maxilar individual y doble y campo de visión focalizado
Implantes
Planifique los implantes con confianza gracias a nuestro avanzado software de planificación de implantes con coronas virtuales personalizadas y a la completa biblioteca de implantes
Cirugía bucal y maxilofacial
El CS 9600, que ofrece hasta 14 campos de visión, incluida radiología de cráneo completo y ATM, es idóneo para cirugía maxilofacial y ortognática.
Análisis de vías respiratorias
Analizar las vías respiratorias superiores con mediciones automáticas y vistas de colores 3D para visualizar fácilmente las restricciones y los cambios en las vías respiratorias.
Exploración facial 3D
Capture la imagen 3D real de la cara del paciente y combínela con la imagen CBCT